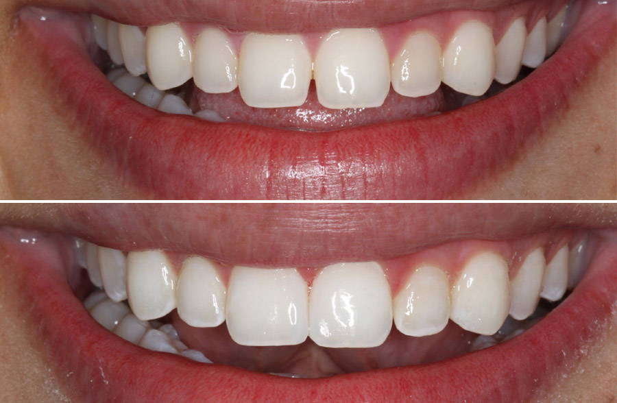
Composite Bonding

Composite bonding refers to the repair of decayed, damaged, or discolored teeth using material that resembles tooth enamel color. Your dentist drills out the tooth decay then applies the composite onto the tooth's surface, and then "sculpts" it into the right shape before curing it with a high-intensity light. Also referred to as "bonding," this procedure effectively covers the tooth's damage and gives the appearance of a

composite bonding

healthy tooth in its place. Bonding is one of the least expensive cosmetic dentistry procedures available to patients with tooth decay, chipped or cracked teeth, and worn-down edges.

Dental bonding, also known as composite resin bonding, is a technique that adds material to your teeth to alter or supplement their shape. Your dental professional applies and shapes a putty-like resin to your teeth before bonding them permanently in this procedure.

Composite bonding is an attractive option for many looking to approve the appearance of their smile or have damaged their teeth. According to the Cleveland Clinic, bonding materials can last between three and 10 years, depending on your oral hygiene.

Benefits of bonding may include:

tooth The procedure can often be completed during a single visit

tooth You may not require local anesthesia for the procedure

tooth Inexpensive compared to other options

tooth Removes less of your natural tooth than alternatives such as crowns and veneers