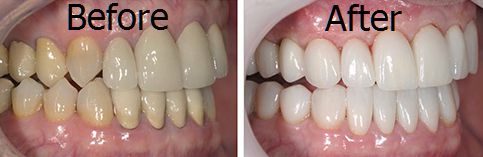
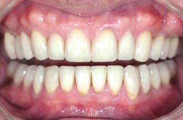
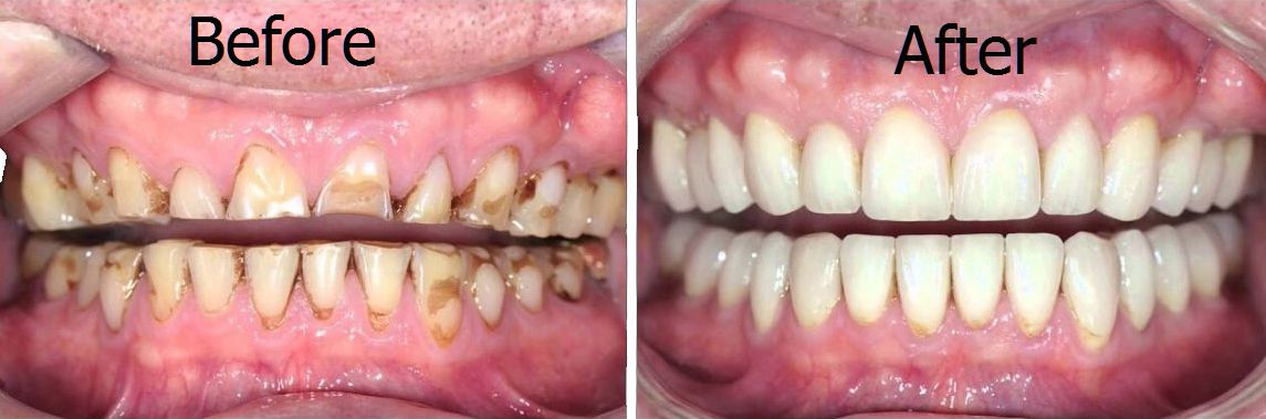
Full Mouth Rehabilitation

A full-mouth reconstruction is a challenging treatment modality that corrects imperfections in bite position and enhances the appearance of the smile. The entire dentition is rehabilitated during a full-mouth reconstruction. The restorative dentist needs to thoroughly understand every aspect of the dentition, its relationship to the temporo-mandibular joints, and the functional interactions of the masticatory muscles. Age, illness, or accidents can sometimes lead to extreme tooth loss. When a patient experiences the loss of several teeth, your dentist may recommend a full-mouth rehabilitation to correct the problem.

full mouth rehabilitation

How it is done :

Using advanced technology, the dentist measures the jaw's muscle function in both stressed and relaxed positions by running computerized scans.

If an imbalance is determined, the dentist will decide whether to treat with an orthotic appliance, or to fit the patient with dental restorations. The orthotic is a removable or fixed appliance that artificially builds up the patient's bite to a comfortable resting position. For patients that wish to eliminate the orthotic, full mouth restoration is often required. After the orthotic has been worn for several weeks to several months, the jaw naturally drops into its most comfortable position.

Only then can the doctor begin to restore the bite. He will use beautiful porcelain restorations that can raise or lower the bite to achieve the most comfortable jaw position. With this correction, patients experience decreased or eliminated pain and discomfort, and better overall health.

Keep in mind: To complete this process with the best possible result for your bite, it is best to work with a doctor who can prepare your entire mouth in one appointment. Some highly qualified doctors prefer to work on one arch at a time - uppers, then lowers. If your dentist prefers to work on one tooth at a time, or in quadrants (1/4 of the mouth), it will be extremely difficult to restore your bite to a comfortable position.