Digital X-ray

Modern technology has changed the way we take dental x-rays at Ankura Dental clinic. Advanced Digital radiology technology allows us to use computerized sensors rather than film to capture images of your teeth in order to reduce the amount of radiation exposed.

Digital X-ray
Intraoral Camera

The Intraoral Camera

The intraoral camera is an excellent visual tool that allows the patient to see exactly what the dentist sees in their mouths. They say a picture is worth a thousand words and this revolutionary diagnostic dental instrument eliminates any confusion between doctor and patient when communicating treatment options. Capturing images with the intraoral camera is painless and there is no radiation exposure risk as visible light is used to generate the photographs.

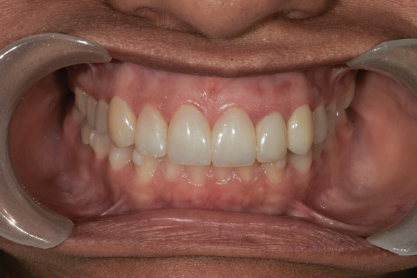
Smile Analysis (Mock-up)

Your Smile Analysis begins with an examination and a personal consultation with your dentist. Your dentist will evaluate the health and appearance of your teeth and gums to ensure that more pressing concerns such as decay or infection are not present. Then, your lip line, facial shape, jaw angle and eye symmetry are examined, photographs are taken and three dimensional plaster study models are fabricated

Mockup