Gum Problems

There are a variety of treatments for gum disease depending on the stage of disease, how you may have responded to earlier treatments, and your overall health. Treatments range from nonsurgical therapies that control bacterial growth to surgery to restore supportive tissues.

Gum Problems

Causes of Gum Disease?

The primary cause of Gum Disease is poor oral hygiene. If you are not brushing or flossing properly, then the chances of bacteria build-up are high. However, there are other reasons as well such as:

tooth Smoking or chewing tobacco which makes difficult for gum tissues to repair

tooth Consuming certain medications (oral contraceptives, steroids, anticonvulsants, calcium channel blockers, and chemotherapy) lessen saliva flow that protects teeth and gums. Some medicines even cause the abnormal growth of gum tissue.

tooth Crooked or misaligned teeth

tooth Hormonal changes such as puberty, menstruation, menopause, pregnancy etc. can make your gums sensitive and as a result prone to gum diseases.

tooth Certain illness such as cancer and HIV make your immune system weak are at higher risk of developing gum disease. Also, people who are diabetic are more prone to get Gum Disease.

tooth Genetic susceptibility such as family history can contribute to gingivitis

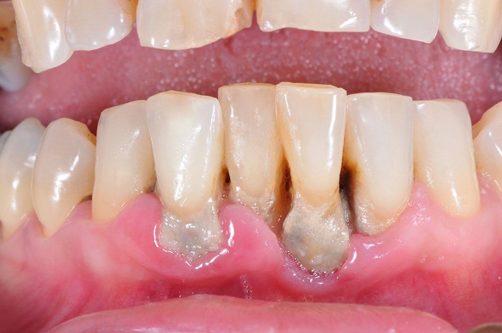
Types of Gum diseases

GINGIVITIS

Gingivitis is the mildest form of periodontal disease. It causes the gums to become red, swollen, and bleed easily. There is usually little or no discomfort at this stage. Gingivitis is often caused by inadequate oral hygiene. Gingivitis is reversible with professional treatment and good oral home care.

PERIODONTITIS

Untreated gingivitis can advance to periodontitis. With time, plaque can spread and grow below the gum line. Toxins produced by the bacteria in plaque irritate the gums. The toxins stimulate a chronic inflammatory response in which the body in essence turns on itself, and the tissues and bone that support the teeth are broken down and destroyed. Gums separate from the teeth, forming pockets (spaces between the teeth and gums) that become infected. As the disease progresses, the pockets deepen and more gum tissue and bone are destroyed. Often, this destructive process has very mild symptoms. Eventually, teeth can become loose and may have to be removed.

There are many forms of periodontitis. The most common ones include the following.

tooth Aggressive periodontitis occurs in patients who are otherwise clinically healthy. Common features include rapid attachment loss and bone destruction and familial aggregation.

tooth Chronic periodontitis results in inflammation within the supporting tissues of the teeth, progressive attachment and bone loss. This is the most frequently occurring form of periodontitis and is characterized by pocket formation and/or recession of the gingiva. It is prevalent in adults, but can occur at any age. Progression of attachment loss usually occurs slowly, but periods of rapid progression can occur.

tooth Periodontitis as a manifestation of systemic diseases often begins at a young age. Systemic conditions such as heart disease, respiratory disease, and diabetes are associated with this form of periodontitis.

tooth Necrotizing periodontal disease is an infection characterized by necrosis of gingival tissues, periodontal ligament and alveolar bone. These lesions are most commonly observed in individuals with systemic conditions such as HIV infection, malnutrition and immunosuppression.

What Are the Symptoms of Gum Disease?

Gum disease may progress painlessly, producing few obvious signs, even in the late stages of the disease. Although the symptoms of periodontal disease often are subtle, the condition is not entirely without warning signs. Certain symptoms may point to some form of the disease. The symptoms of gum disease include:

tooth Gums that bleed during and after tooth brushing

tooth Red, swollen gums. Healthy gums should be pink and firm.

tooth Persistent bad breath or bad taste in the mouth

tooth Receding gums

tooth Formation of deep pockets between teeth and gums

tooth Loose or shifting teeth

tooth Changes in the way teeth fit together upon biting down, or in the fit of partial dentures

How Does My Dentist Diagnose Gum Disease?

During a dental exam, your dentist typically checks for these things:

tooth Gum bleeding, swelling, firmness, and pocket depth (the space between the gum and tooth; the larger and deeper the pocket, the more severe the disease)

tooth Teeth movement and sensitivity and proper teeth alignment

tooth Your jawbone, to help detect the breakdown of bone surrounding your teeth

How Is Gum Disease Treated?

The goals of gum disease treatment are to promote reattachment of healthy gums to teeth; reduce swelling, the depth of pockets, and the risk of infection; and to stop disease progression. Treatment options depend on the stage of disease, how you may have responded to earlier treatments, and your overall health. Options range from nonsurgical therapies that control bacterial growth to surgery to restore supportive tissues. A full description of the various treatment options is provided in Gum Disease Treatments.

How Can Gum Disease Be Prevented?

Gingivitis can be reversed and gum disease can be kept from getting worse in nearly all cases when proper plaque control is practiced. Proper plaque control consists of professional cleanings at least twice a year and daily brushing and flossing.

Brush your teeth twice a day. Use a soft-bristled brush and fluoride toothpaste. Replace your toothbrush every 3 months, or sooner if the bristles become frayed. Old, worn-out ones won't clean teeth as well. Brushing gets rid of plaque on the surfaces of the teeth that can be reached.

Flossing removes food particles and plaque from in between the teeth and under the gum line. Floss every day. Don’t wait until something gets stuck between your teeth. Daily flossing gets plaque out of places your toothbrush can't reach. You can also try interdental cleaners, picks, or small brushes that fit in between teeth. Ask your dentist how to use them so you don't damage your gums.

Rinse your mouth. Antibacterial mouthwash not only prevents gingivitis, it fights bad breath and plaque. Antibacterial rinses can reduce bacteria that cause plaque and gum disease, according to the American Dental Association. Ask your dentist which mouthwash would work best for you.

Other health and lifestyle changes can cut the risk of gum disease, lessen how severe it is, and slow how fast it develops. They include:

tooth Stop smoking. Not only is smoking bad for your heart and lungs, it can harm your teeth and gums. Smokers are seven times more likely to get gum disease than nonsmokers, and smoking can lower the chances of success of some treatments.

tooth Reduce stress. Stress may make it hard for your body's immune system to fight off infection.

tooth Maintain a balanced diet. Bacteria in your mouth feed on sugars and starches from food, fueling them to release the acids that attack tooth enamel. Junk food and candy have a lot of extra sugar and starch. Avoid them to keep your teeth and gums healthy. Proper nutrition helps your immune system fight infection. Eating foods with antioxidants -- for example, those containing vitamin E (vegetable oils, nuts, green leafy vegetables) and vitamin C (citrus fruits, broccoli, potatoes) -- can help your body repair damaged tissue.

tooth Avoid clenching and grinding your teeth. These actions may put excess force on the supporting tissues of the teeth and could increase the rate at which these tissues are destroyed.

tooth Avoid clenching and grinding your teeth. These actions may put excess force on the supporting tissues of the teeth and could increase the rate at which these tissues are destroyed.

Is Gum Disease Linked to Other Health Problems?

According to the CDC, researchers have uncovered potential links between gum disease and other serious health conditions. In people with healthy immune systems, the bacteria in the mouth that makes its way into the bloodstream is usually harmless. But under certain circumstances, these microorganisms are associated with health problems such as stroke and heart disease. Diabetes is not only a risk factor for gum disease, but gum disease may make diabetes worse.