Orthodontic

Orthodontics is a specialty of dentistry that deals with the diagnosis, prevention, and correction of malpositioned teeth and jaws, and misaligned bite patterns.

Orthodontic treatment is a way of straightening or moving teeth, to improve the appearance of the teeth and how they work. It can also help to look after the long-term health of your teeth, gums and jaw joints, by spreading the biting pressure over all your teeth.

Orthodontic

Why should I have orthodontic treatment?

Many people have crowded or crooked teeth. Orthodontic treatment will straighten the teeth or move them into a better position. This can improve their appearance and the way the teeth bite together, while also making them easier to clean.

Some people have upper front teeth that stick out and look unsightly. These 'prominent' teeth are more likely to be damaged, but orthodontic treatment can move them back into line. Or the way the upper and lower jaws meet can cause teeth to look unsightly and lead to an incorrect bite. Orthodontic treatment may be able to correct both of these problems.

When the teeth don't meet correctly, this can put strain on the muscles of the jaw, causing jaw and joint problems and sometimes headaches. Orthodontic treatment can help you to bite more evenly and reduce the strain.

At what age should I have orthodontic treatment?

The best time is generally during childhood, but adults can have orthodontic treatment too - and more and more are doing so. Age is less important than having the right number of teeth. In children it may be necessary to wait for enough teeth to come through before starting treatment.

Who carries out orthodontics?

Your dentist may carry out orthodontic treatment. Or they may send you to a specialist who has extra qualifications. The specialist may be in a practice or in a hospital department, and is called an orthodontist.

What does it involve?

The most important thing is to have a full examination. This will usually involve looking at your teeth, taking dental x-rays and making plaster models of your teeth.

Your dental team or orthodontist will then discuss what treatment is possible. Once you are sure you want to go ahead, the treatment can start as soon as you have enough permanent teeth.

Will I need to have teeth taken out to make room?

You may not have enough room for all your permanent teeth. If so, you may need to have some permanent teeth taken out to make space. Your dental team will tell you whether this is the case. Sometimes space can be made using other forms of treatment.

How is treatment carried out?

tooth Orthodontic treatment can be done by many sorts of appliances, which most people call a 'brace'.

tooth Simple treatment may be carried out with a removable brace (a plate that can be taken out to be cleaned). It has delicate wires and springs attached, which move the teeth using gentle pressure.

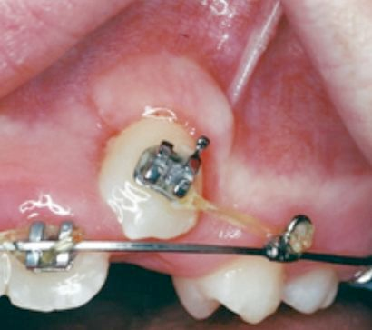
What is a fixed brace?

Often, teeth need to be guided more accurately than they can be using a removable brace. So a fixed brace is used. This has brackets and bands which are temporarily stuck to the teeth. A flexible wire joins all the brackets and allows the teeth to be moved. You can't take the appliance out yourself, so it is called a fixed appliance.

What is a functional brace?

It is sometimes possible to change the way the jaws grow, using a functional brace. This works by using the power of your jaw muscles and can help with certain types of problem.

What are the brackets made of?

Fixed braces are not always made of metal. Plastic and ceramic can be used, especially for adults.

What is headgear?

As well as a brace some people need to wear headgear. You usually only need to wear it in the evening or at night. If you do not wear it in the way you have been told, your front teeth may stick out at the end of treatment.

What are 'invisible braces'?

They are tough, clear plastic 'aligners' (moulds) that are used to straighten teeth. Several sets of specially moulded, slightly different aligners are made for each patient. Each set is worn for two weeks before being replaced with the next one. They are made from clear plastic, so they are nearly invisible. This means that no one need know you are straightening your teeth.

The aligners should be worn for 22 to 23 hours a day for the best results. They can be easily removed for eating, drinking, brushing, and for cleaning in between your teeth. You need to have all your adult teeth before you can have this treatment.

What are elastics?

Sometimes delicate elastic bands are attached to a fixed brace to help move the teeth. Your orthodontist will tell you if you need elastics.

How do I care for my brace and teeth?

tooth Clean your teeth carefully every day, including between your teeth where you can. Braces are delicate and you need to make sure you clean them carefully so that they do not break. Your dental team will be able to show you the special techniques to use depending on the appliance you are wearing.

tooth Cut down on how often you have sugary foods and drinks. Avoid snacks and drinks containing sugars, and fizzy drinks. Also, sticky and hard foods may damage your brace.

tooth Brush your teeth last thing at night and at least one other time during the day. Use a mouthwash if you need to. Your dental team may recommend a stronger fluoride toothpaste, or perhaps a fluoride gel or mouth rinse, for you to use.

FAQ(Frequently Asked Questions)

The length of treatment depends on how severe the problem is, and it may take anything from a few months to two-and-a-half years. Most people can be treated in one to two years.
When treatment is finished the teeth need to be held in position for a time. This is called the ‘retention' period, and the appliances that hold the teeth in place are called retainers.
The retainers hold newly straightened teeth in position while the surrounding gum and bone settles. The retainers can be removable or fixed, depending on the original problem.
All appliances may feel strange at first, and can cause discomfort. If the problem doesn't go away, the orthodontist may be able to carry out adjustments to help. Teeth are usually uncomfortable immediately after a brace has been adjusted, but this will settle.
Orthodontic braces usually need adjusting every 4 to 6 weeks. Your orthodontist will tell you how often your brace will need adjusting.
Success depends on both the skills of the orthodontist, and the enthusiasm and helpfulness of the patient (and parents, if the patient is a child). It is important to follow any instructions given by the orthodontist and to go to any appointments you have with them.
The success of the treatment also depends on the commitment of the patient. For children's orthodontic treatment it is very important that the patient is as keen as the parent.
Your teeth can be damaged if you don't look after them properly during treatment. The braces themselves will not cause damage, but poor cleaning and too many sugary foods and drinks can cause permanent damage to your teeth. Brackets, wires and braces can trap food and cause more plaque than usual to build up. So you need to clean your teeth and appliance very thoroughly.
Even after retention, it is normal for minor tooth movements to happen throughout life. So no permanent guarantee can be given. However, it is unusual for teeth to alter enough to need more treatment.
The first thing to do is to visit your own dental team and get their advice. Your dental team will know whether you need treatment and will make the necessary arrangements.