Smile Designing

A smile design is a dental procedure which artistically creates straighter, whiter and beautiful natural looking smiles. It can do wonders to fully restore your dental health and appearance regardless of the original state of your existing teeth.

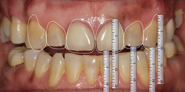
smile designing

Benefits of Smile Design

Age decreases our smile due to wear, chipping and discoloration. This can happen gradually and can be very embarrassing. Smile designing can get you smiling again and revitalize or enhance your original smile

The Process of Smile Designing

tooth In the first step a consultation is arranged with the doctor to make sure we understand your cosmetic dental goals and develop a treatment plan to resolve your underlying dental problems.

tooth Patients are encouraged to bring with them photos of when they were younger or photos of their favourite smile in order to understand their needs and expectations better.

tooth In the first step a consultation is arranged with the doctor to make sure we understand your cosmetic dental goals and develop a treatment plan to resolve your underlying dental problems.

tooth Patients are encouraged to bring with them photos of when they were younger or photos of their favourite smile in order to understand their needs and expectations better.

tooth The treatment is planned so as to minimize the number of appointments and to make sure your smile is completed in time for your special social function or occasion.

tooth All other dental diseases are treated first including dental hygiene issues.

tooth No two cases are alike and hence our doctors create a customized smile especially for you.

Who is a candidate for a Smile Design?

tooth Wanting to look younger. A smile design can take years off of your appearance.

tooth Wanting to have a more confident smile.

tooth That cares how they look and wants to make an investment into their dental health

tooth That wants to improve their chances for career advancement or success. It is a known fact that 74% of adults feel that an enhanced smile will allow for a more successful career

tooth That takes care of their teeth with regular dental checkups and good dental hygiene..